Boyun Düzleşmesinde Yalancı Fıtığa Dikkat!

Boyun Düzleşmesinde Yalancı Fıtığa Dikkat!
  • 03.05.2021

Boyun Düzleşmesinde Yalancı Fıtığa Dikkat!

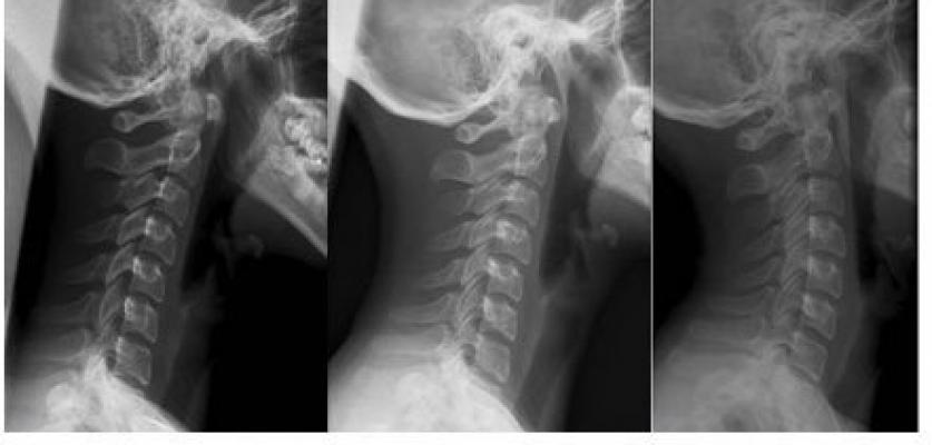
Boyunda fıtık ve düzleşme benzer semptomlar verir. Peki bizdeki şikayetin temelinde hangisi yatıyor? Klinikte sık ikileme düşüren bu yanılgının sebebi, düzleşmeye bağlı yalancı fıtık olabilmekte. Hem düzleşme hem fıtığınız varsa esas problemi bulmakta geç kalmayın.